Current Oncology Reports》 2019年6月刊载[21(8):66].美国Ali FS , Arevalo O , Zorofchian S 等撰写的综述《脑放射性坏死:发病率、发病机制、诊断上的挑战性,和未来机遇。Cerebral Radiation Necrosis: Incidence, Pathogenesis, Diagnostic Challenges, and Future Opportunities.》( doi: 10.1007/s11912-019-0818-y.)。
研究目的旨在探讨脑放射性坏死(CRN)是一种主要的剂量限制的放射治疗副作用。放射性坏死(RN)的发病率随放射治疗方式、总剂量、分割剂量和靶区病变性质各异而不同。除了对于这些已知的、可控的特征外,脑放射性坏死(CRN)的发生具有随机性成分(stochastic componen),即宿主或病变的发生概况(the genetic profile)及其在脑放射性坏死(CRN)发展中的作用。
最近发现,近来的研究为放射性脑损伤的起源机制提供了一些深刻理解。除了这些不完全清楚的宿主因素,虽然存在多种结构和功能成像模式,两者的结合可能被证明是正确的理想性的诊断成像方法,但使用结构和功能成像诊断脑放射性坏死(CRN)的标准也同样不甚清楚。随着新分子疗法和免疫疗法的应用不断增加,脑放射性坏死(CRN)的发病率预计会不断上升,而诊断将更具挑战性。组织活检可能是不敏感的,并会遇到抽样偏差(sampling biases)和过程中的风险(procedural risks)。液体活检是一种有前途的、准确的、非侵袭性的诊断策略,尽管这种模式目前还处于起步阶段。
更好地了解脑放射性坏死(CRN)的发病机制,将扩大和优化脑放射性坏死(CRN)的诊断和管理,通过更好地利用现有的治疗方案,包括贝伐单抗(bevacizumab)、己酸可可碱(pentoxifylline)、高压氧治疗和激光间质热疗。
脑放射性坏死的管理
灶处理脑放射性坏死时,患者的症状、表现和疾病状况,频繁度、剂量和癌症治疗持续时间,诊断影像上疑似病变随时间而发展,是需要考虑的重要因素。让病人和家属参与决策过程也是很重要的,告知他们脑放射性坏死的自然病程、包括已确立的和实验性的两方面已有的治疗方式、以及可能的结果。
一些病人的脑放射性坏死可自行消退,虽然脑放射性坏死可以进展,在临床中不断演变或者仅仅存在与诊断性成像上,因此有必要治疗。对于小的且无症状的病变,应采取观测等待策略配合连续临床随访,辅以连续诊断成像,加以应用。通常推荐进行密切的影像学随访,起先的间隔短(每6-8周),直到病变稳定或尺寸减小。随访可能会增加或减少,根据具体个案量身定制。随访持续时间应由放射肿瘤学家,内科肿瘤学专家、神经病学专家,神经外科医生和放射科咨询专家组成的多学科团队管理。从影像学改变开始的脑放射性坏死在神经放射影像学上改善的可能性的范围从6个月时的40%到18个月时的76%。除了采取观察等待策略,治疗方案包括支持性药物治疗,以及手术切除坏死的病灶。
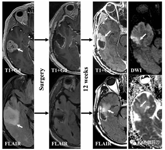
图5 假性进展。来自一例诊断为右侧颞叶胶质母细胞瘤IDH-野生型病人的序列图像。在左边的列中,基线MRI扫描显示不均匀增强,界限不清,中央坏死性肿块,位于右侧颞叶中央,周围FLAIR高信号与胶质母细胞瘤相对应。第二列对应的是术后即刻扫描,显示肿瘤增强和非增强部分的肉眼全切除。第三列对应于完成标准治疗后12周随访MRI扫描显示一个令人忧虑的新的增强区域和FLAIR高信号,沿手术瘤床的前缘(箭头)。在DWI和ADC图像上无相关的限制性扩散。病理检查证实新的增强部位对应治疗变化(假性进展)
药物治疗
皮质类固醇是脑放射性坏死的一线治疗药物。它们抑制促炎症反应产生(propagate)脑辐射坏死,包括减少放射诱导的细胞因子反应,改善血脑屏障(BBB)功能,减轻水肿程度。地塞米松因其具有免疫调节作用而被广泛使用,效果明显,且无使用氢化可的松的钠潴留(salt retention)。脉冲皮质类固醇给药能有效地短期内减轻脑放射性坏死症状。然而,皮质类固醇的价值是短暂的和支持性的而不是有疗效的。另外一个警告是与长期类固醇治疗相关的一系列不良事件,以及类固醇依赖的风险。我们通常使用的地塞米松剂量从每日4到16毫克,分一次或两次每日服用4 -6周后逐渐减少(gradual taper)。及时认识到类固醇难治性脑放射性坏死的发生是至关重要的,并应考虑额外的或者尽早选择替代疗法,以便预防长期使用类固醇的副作用,例如肌肉病变、消化道出血、感染(口腔鹅口疮和肺孢子菌肺炎)),类固醇诱发的精神病,和肾上腺功能不全。接受皮质类固醇治疗的病人应每日处方质子泵抑制剂预防胃肠道出血,甲氧苄氨嘧啶/磺胺甲恶唑(TMP-SMX)预防抗PCP,计划≥4周的高剂量皮质类固醇治疗(≥30毫克/天的强的松或等值其他配方)。
各种药物在治疗脑放射性坏死中都显示出疗效,范围包括从维生素E的补充,到靶向抗血管生成药物(表1)。贝伐单抗,作为抗VEGF抗体,在随机对照试验中,是唯一证明对脑放射性坏死有效的治疗方法。贝伐单抗对抗VEGF的作用,与脑放射坏死的增殖有关,与影像学上坏死病灶增强的减弱有关,具有良好的不良反应治疗谱,且能够减少类固醇的使用。贝伐单抗动脉内给药的效用出现的初步的数据,给药后8.5个月成功治疗脑放射性坏死出现持续反应。正在进行的随机对照试验(RCT)以验证这一治疗脑放射性坏死的给药途径。接受贝伐单抗的重新挑战患者显示对以前接受过贝伐单抗治疗的患者的脑放射性坏死有效。然而,唯一发表的应用贝伐单抗治疗脑放射性坏死的随机对照试验(RCT)中仅仅招募了11例贝伐单抗患者入组,其中6例出现不良反应,包括肺栓塞1例,上矢状窦栓塞1例,因此,贝伐单抗的安全性需要对大规模随机对照试验(RCT)进行进一步验证。
表1 放射性坏死的治疗方法
管理模式 | 基本原理 | 优势 | 劣势 | 临床试验完成 |
类固醇 | 减少脑水肿 | 廉价,易得 | 类固醇依赖和副作用* | 否 |
抗凝药 | 减轻辐射诱发的血管狭窄 抗血小板凝集 抑制中性粒细胞趋化和细胞因子的释放 | 廉价 | 出血的风险 循证证据有限 | 否 |
己酸可可碱 | 脑部放射后TNF-α和白介素-1β水平降低;抑制VEGF的上调 | 并发深静脉血栓的预防 | 增强抗血小板/抗凝血作用的药物 | 否 |
维生素E | 清除活性氧 保护细胞膜免受脂质过氧化作用 促进结缔组织修复 | 未描述 | 潜在维生素E毒性 | 否 |
贝伐单抗 | 减轻血管内皮生长因子(VEGF)介导的放射性坏死的进展 | 未描述 | 高血压 肾功能不全的风险 血栓/缺血事件的风险 | 是 |
高压氧治疗 | 通过增加氧浓度刺激放射性坏死病变内的血管生成 | 只有I级证据的治疗 | 气压伤 | 否 |
手术 | 减轻颅内压力 允许或切除病变 | 减少类固醇治疗的时间 减少脑水肿 立即缓解和治愈症状 | 增加癫痫发作的风险 手术致死致残率 受限于深部不能手术切除的位置 | 否 |
激光间质热疗消融 | 激光诱导的血管硬化减轻放射性坏死的进展 | 能治疗深部病变 | 资料有限 | 否 |
*值得注意的副作用,包括类固醇依赖、类固醇导致的肌肉病变、胃肠道出血、以及感染,包括口腔鹅口疮和肺孢子菌肺炎、类固醇诱发的精神病,以及长期使用类固醇引起的肾上腺功能不全。
在文献中报道使用抗凝剂治疗脑放射性坏死,尽管身体证据非常有限。因此,脑放射性坏死背景下使用肝素或华法林的疗效和安全性值得怀疑。己酸可可碱(Pentoxifylline),甲基黄嘌呤衍生物可以改变血液粘稠度,已被证明能最大限度地降低接受放射治疗的肺癌和乳腺癌患者肺中一氧化碳的弥散容量。在头部颈部鳞状细胞癌患者,己酸可可碱已显示可减少术后放射治疗引起的皮肤变化、纤维化和软组织坏死。使用己酸可可碱对脑放射性坏死有一定的治疗作用,可缓和放射损性伤的多变效应。一项临床试验评估预防性己酸可可碱和维生素E给药以预防脑放射性坏死,预计会在近期报告发现。
最近的一项II期研究旨在概述使用神经生长因子(NGF)治疗脑放射性坏死的作用。与皮质类固醇相比,神经生长因子(NGF)能够长期缩减脑放射性坏死的症状。虽然NGF很有前途,但目前还不是标准性治疗,需要进行进一步调查,以证实其安全性和有效性。
高压氧治疗
用高压氧治疗(HBOT)脑放射性坏死的基本原理,是增加氧气浓度,刺激血管生成,恢复坏死病变的血液供应,从而促进愈合。患者在舱内2.5倍大气压下,接受HBOT治疗,每周最多5次。这个周期可以重复到40次。在立体定向放射外科治疗后1周共20次预防性提供高压氧治疗(HBOT)已经证明可以减少脑放射性坏死从20%到11%。然而,证据限于病例报告,没有随机对照试验发表,一项随机对照试验(RCT)正在进行中。
手术切除
对药物治疗难治的脑放射性坏死可能需要手术干预以减轻肿块占位效应(图5)。尽管手术切除,坏死病灶以外的水肿可能需要几周的时间才能解决,应该进行密切监测。此外,手术可以提供组织诊断,以及研究样本排除肿瘤进展的能力,可能会在活检时被疏漏。重要的是,明智地选择外科手术适应的患者,因为病人往往经大量预处理,有多种合并症,且可能有一个不好的性能状态,这使他们有手术并发症发生率的高风险,特别是与伤口有关的并发症和潜在死亡率。理想的外科适应的患者,应该具有良好的性能状态,可到达坏死肿块的位置,合并症最低程度或无,还有一例药物治疗失败。
激光间质热疗消融
激光间质热疗消融(LITT)依赖于对靶区组织的激光电磁辐射的传送,吸收光子,导致热能释放。然后通过对流和传导重新分配热量,导致病变的凝固性坏死。目前,有两个商用的激光间质热疗消融(LITT)系统。NeuroBlate 系统(加拿大Winnipeg,,Monteris 医疗公司),由脉冲二极管激光器(12瓦)组成,与术中MRI程序组以及常规MRI机器相结合。 Visualase (明尼苏达州明尼苏达美敦力公司Medtronic Inc生产),是另一个LITT系统,也是与MRI整合,并装有15瓦(W)的有输出的二极管激光器。
LITT是病变的一种很有前途的治疗方法,很难通过手术获得。在脑放射性坏死背景下的LITT的效用目前是有限的,但在已报告的病例中,已显示出明显的症状改善,以及坏死局灶的消退。至今没有发表将LITT作为治疗脑放射性坏死的随机对照试验研究。
结论
脑放射性坏死的风险随着放射治疗方式,剂量,分割剂量,肿瘤组织学,肿瘤的遗传学构成,以及个体对放射损伤的遗传易感性各异而不同。关键是要规范结构和规范用于诊断、分级和监测病程的功能成像策略。对于脑放射性坏死新颖的诊断模式如液体活检可以潜在提高诊断的准确性,虽然在临床实施前可能还需要进一步的研究。脑放射性坏死治疗的选项在增加,特别是贝伐单抗和激光间质性热疗,其强调在这个领域积极研究的必要性,包括研发精确的以及具有成本效益的诊断和治疗方法。随着新型癌症治疗的出现(靶向治疗,免疫治疗,病毒性治疗),晚期恶性肿瘤患者的生存有望与增加的脑放射性坏死的发生率一起改善。因此,应注意与治疗、其及时诊断、治疗,以及对患者的生存质量所产生的影响相关的副作用。