《Current Oncology Reports》 2019年6月刊载[21(8):66].美国Ali FS , Arevalo O , Zorofchian S 等撰写的综述《脑放射性坏死:发病率、发病机制、诊断上的挑战性,和未来机遇。Cerebral Radiation Necrosis: Incidence, Pathogenesis, Diagnostic Challenges, and Future Opportunities.》( doi: 10.1007/s11912-019-0818-y.)。
研究目的旨在探讨脑放射性坏死(CRN)是一种主要的剂量限制的放射治疗副作用。放射性坏死(RN)的发病率随放射治疗方式、总剂量、分割剂量和靶区病变性质各异而不同。除了对于这些已知的、可控的特征外,脑放射性坏死(CRN)的发生具有随机性成分(stochastic componen),即宿主或病变的发生概况(the genetic profile)及其在脑放射性坏死(CRN)发展中的作用。
最近发现,近来的研究为放射性脑损伤的起源机制提供了一些深刻理解。除了这些不完全清楚的宿主因素,虽然存在多种结构和功能成像模式,两者的结合可能被证明是正确的理想性的诊断成像方法,但使用结构和功能成像诊断脑放射性坏死(CRN)的标准也同样不甚清楚。随着新分子疗法和免疫疗法的应用不断增加,脑放射性坏死(CRN)的发病率预计会不断上升,而诊断将更具挑战性。组织活检可能是不敏感的,并会遇到抽样偏差(sampling biases)和过程中的风险(procedural risks)。液体活检是一种有前途的、准确的、非侵袭性的诊断策略,尽管这种模式目前还处于起步阶段。
更好地了解脑放射性坏死(CRN)的发病机制,将扩大和优化脑放射性坏死(CRN)的诊断和管理,通过更好地利用现有的治疗方案,包括贝伐单抗(bevacizumab)、己酸可可碱(pentoxifylline)、高压氧治疗和激光间质热疗(pentoxifylline)。
引言
半个多世纪以来,放射治疗(RT)已被用于治疗颅内肿瘤。早期放射治疗的模式是照射整个大脑,最初是用千伏级的(kilovoltage),后来是用兆伏级的(megavoltage) X射线。在20世纪70年代末和80年代初,立体定向放射外科(SRS)有了发展,计算机断层扫描(CT)和磁共振成像(MRI)能够用更为针对性的方法进行放射治疗(RT)。1930年,报道了一例45岁男子接受X射线照射头皮出现最早的放射性脑损伤的病理证据。在20世纪80年代,Sheline等将放射治疗(RT)相关的副作用,主要基于从接受放射治疗后起病的时间,进一步描述为三个不同的类别,即在放射治疗过程中发生的急性反应(acute reactions),发生在放射放疗后数周到数月之间的早期迟发反应(early delayed reactions),晚期迟发性反应(late delayed reactions)可发生在接受放射治疗后的数月到数年。这个特性描述直到今天还在使用。多次剂量递增放疗试验发现,尽管观察到有生存的改善,但脑放射坏死及由此引起的脑水肿是一种显著的限制性因素。
脑放射性坏死已被定义为完成放射治疗后至少3-12个月发生的一种严重的局部组织反应,尽管有报道在完成治疗后数年会发生。在这篇综述中,我们的目标是综述放射性坏死(RN)的发病率、发病机制、放射性坏死的遗传学、诊断策略,判断正确的管理概述当前可用的治疗方案,以及面临脑放射性坏死的新挑战。
发病率
脑放射性坏死的发病率受多种因素的影响,包括放疗方式、总剂量、分割剂量、颅内病理和所使用的诊断成像模式。早期的研究评估常规放疗(RT)模式,记录到脑放射性坏死的发生率为14 - 15% 。更新的放射治疗(RT)模式,如调强放射治疗 (IMRT),图像引导放射治疗 (IGRT),间质放射治疗(近距离放射治疗)(brachytherapy)和立体定向放射外科(SRS)都通过减少对正常组织的放射损伤来降低坏死的风险。尽管如此,SRS的效用主要受脑放射性坏死的限制,自使用单次分割大剂量以来,预计可产生严重的坏死负荷,有时可能需要开颅手术。关于近距离放射治疗,报告的脑放射性坏死率在25- 50%。有人认为近距离放射治疗有严重和坏死负荷程度较高,一项研究报道,近50%的病人由于临床病情恶化,增加对类固醇的依赖,或在植入部位的肿块占位效应,需要开颅手术。
坏死病灶的活检是诊断脑放射性坏死的金标准,但花费昂贵,有侵袭性,且有抽样误差偏倚。此外,对脑放射性坏死的低估或过高估计也会影响肿瘤反应及局部控制率的报告,从而可能会扭曲临床试验的结果。
神经胶质瘤、转移瘤和动静脉畸形的脑放射性坏死
肿瘤放射治疗协作组(RTOG)的随机对照试验(RCTs)显示较高的脑放射性坏死的发生率,使用较高剂量的放射治疗,36次分割(总的照射剂量≥64.8 Gy),治疗低级别胶质瘤(LGG)患者,以及54次分割治疗高级别胶质瘤(HGG),与低剂量放射治疗相比,突出总的照射剂量在这方面病理过程发展中所起的作用。对29项在新诊断的疗高级别胶质瘤(HGG)患者中应用立体定向放射外科(SRS)治疗的研究的荟萃分析中发现,合并脑放射性坏死发生率为6.5 (95% CI 0 -33%)。与SRS治疗中同时使用贝伐单抗治疗则似乎不会增加脑放射性坏死的风险,虽然关于处理这方面问题的证据体量是有限的。
近年来,日益明显的是,肿瘤生物学和遗传学在放射敏感性中,也由此出现脑放射性坏死中起着重要作用。在脑转移瘤患者中,回顾性研究报告立体定向放射外科治疗的脑放射性坏死发生率为4.7 - 9.2%,在放射治疗剂量范围在18-30Gy,研究中报道的使用较高的放射治疗剂量会有较高的坏死发生率。对于较大的病变(直径> 2-3厘米),脑放性射坏死发生率已被报道在,放射治疗剂量为8 - 35Gy,脑放射性坏死发生率为2.9-22.6%。报道的术后SRS单次剂量照射与在多中心研究中,术前SRS或单独SRS的比较,有较高的脑放射性坏死发生率。与单次分割SRS治疗相比,多次分割SRS不仅能降低脑放射性坏死发生率,且已被证明可达到较高的局部疾病控制率。有症状的病变需要活检,大多数显示脑放射性坏死而不是复发性转移疾病。据报道,同时进行全身治疗和SRS治疗可导致脑放射性坏死率为8%。同时免疫检查点抑制剂治疗和SRS治疗, 荟萃分析发现在转移性脑肿瘤患者中合并的脑放射性坏死发生率为5.3%。
动静脉畸形的放射治疗(AVMs)因为病人能活很长时间,提供一个研究放射生物学的独特机会,照射的实体组织非常少,大多数是与AVM周围的脑组织的边缘受照射相关的效应。接受> 10 Gy照射的部分脑体积与的脑放射性坏死的发生率增加有关。AVM的研究也显示脑放射性坏死的发生率的异质性取决于在脑内的位置。已报道的发生神经放射影像学改变的风险的精算发生率为31-32%。
病理生理学
脑放射性坏死始于放射性血管损伤,发生在照射后的头24小时内,其次是脑实质损伤。电离辐射在肿瘤细胞中产生活性氧,导致单链和双链DNA损伤。DNA修复途径随后被激活,导致有不可逆DNA 损伤细胞的周期性停滞和凋亡。内皮细胞也会被辐射损伤,与细胞膜相互作用,导致神经酰胺诱导的细胞凋亡。这引发了级联事件导致细胞肿胀坏死,产生活性氧种类增多,并随之传播炎症反应,包括细胞因子和趋化因子。这导致纤维蛋白血小板血栓的形成和纤维蛋白样坏死。因此,血脑屏障(BBB)破坏发生并导致脑水肿(图1)。
除了内皮细胞损伤,放射损伤星形胶质细胞,少突胶质细胞和神经祖细胞(neural progenitor)。由此产生的炎症反应和坏死肿瘤碎片形成不容易被清除,加重毛细血管通透性缺陷,促进髓鞘脱失。这些变化是脑放射性坏死的早期延迟阶段的特征,可能难以与肿瘤进展相鉴别。脑放射性坏死的不可逆延迟期有一系列的特征,从局灶放射性坏死到弥漫性脑白质病伴脑萎缩。脑放射性损伤主要见于白质。
在脑放射性坏死的发病机理中,最近几年血管内皮生长因子(VEGF)的作用和乏氧诱导因子- 1α(HIF-1α)已变得更加明显。HIF-1α是VEGF的反式激活因子而其上调会通过星形胶质细胞导致VEGF生成增加,引起血管新生。然而,而由这样的反应产生的血管则是脆性和易漏的,会引起周围水肿,是脑放射性坏死急性期的特征。在动物模型坏死局灶的坏死周围区域已经发现VEGF的增加。HIF-1α也是一个重要调节重要的趋化因子轴介质CXCL12-CXCR4,具有HIF-1α抑制作用显示已经缓和动物模型中脑放射性坏死的发展。
图1放射性坏死的病理生理概况。ROS,活性氧类;VEGF,血管内皮生长因子;HIF-1,缺氧诱导因子-1α;BBB,血脑屏障
组织病理特征
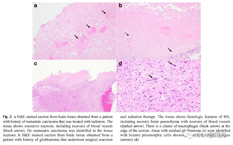
组织学上,脑放射性坏死以存在区域性的嗜酸性坏死伴有区域性的星形胶质细胞出现与异型性神经胶质增生为特点。此外,纤维蛋白样血管坏死与钙化沉积(dystrophic calcification)有关,也可见代表反应性血管变化的血管周围淋巴浆细胞浸润和毛细血管扩张,虽然这一发现并不特定于脑放射性坏死(图2)。坏死病变存内在少量(in paucity)多形性和分化良好的星形胶质细胞并不罕见,并不表明肿瘤进展。相反,存在有丝分裂活跃的肿瘤细胞在肿瘤进展方面具有优势。在手术切除的标本中,脑放射性坏死的组织学特征与肿瘤进展并存常是组织学上的特点,在需要诊断(脑放射坏死或肿瘤进展)的一组特征之中具有优势。目前神经胶质瘤的一个主要限制是缺乏假性进展的组织病理学标准,而不是真正的肿瘤进展。虽然与活检显示肿瘤进展相比,对恶性星形细胞瘤患者的立体定向活检显示脑放射性坏死可能与提高生存率有关,研究证实+这些发现是有限的,结果相互矛盾,进一步的研究需要结合肿瘤的分子特征的详细细节。
图2 a有放射治疗转移瘤病史的患者的脑组织H&E染色切片。组织显示出广泛坏死,包括坏死的血管组织(黑色箭头)。组织切片中未见转移瘤。b.从接受过手术切除和放射治疗的胶质母细胞瘤病史的患者获取的H&E染色切片。组织显示放射性坏死的组织学特点,包括坏死的脑实质伴坏死的血管(虚线箭头)。切片边缘可见一群巨噬细胞(黑色箭头)。识别出含有奇异的多形性细胞的残留胶质母细胞瘤的区域(c),显示出与治疗相关的变化(箭头)(d)。
症状学和危险因素
肿瘤进展和脑放射性坏死均有类似的症状;然而,这两方面疾病的管理是完全不同的。脑放射性坏死的症状一般较轻微,但取决于病变的位置及大小;病人可能会出现临床上的认知障碍,症状是明显的,或相反,也可能是温和的,需要全面的神经心理学评估有待确定。在病变较大的情况下,脑水肿可以引起颅内压升高的症状,严重的病例可导致致命的脑疝。很少见的是,脑放射性坏死可伴有脑出血或突发癫痫发作(breakthrough seizures)。
治疗相关危险因素
累积照射剂量、分割的规模及日程、治疗持续时间、治疗体积、既往颅脑受照射的病史,以及同步或辅助化疗,都是影响发生脑放射性坏死的重要因素。病灶直径> 1 cm,是脑放射性坏死的最大危险因素。已经确定放射剂量阈值为50Gy,25次分割,低于这个阈值,脑放射性坏死的风险被认为是最小的.每次分割2Gy,累积剂量为72Gy,风险超过5%。然而,再程放疗时,有报道累积剂量> 100 Gy是发生脑放射性坏死的阈值。大分割放射治疗已被报道为是安全的、可耐受的治疗复发高级别胶质瘤的策略,而未推论出会有脑放射性坏死风险的增加。使用立体定向放射外科(SRS)治疗,脑放射性坏死的风险存在剂量-效应的相关性,照射10Gy的剂量至> 10.5 mL的体积推测有35%的坏死风险。当照射12y的剂量至>10毫升表面积时,这种风险可上升至50%。一项研究中,使用60Gy的剂量。分35次对比分30次分割照射,逐步变大的分割规模也表明患病风险增加。一个剂量递增研究报告放射治疗后6个月的脑放射性坏死的发病率为5%,12个月、18个月和24个月后分别增加到8%、9%和11%。对于脑部再程放疗,根据系统综述和文献分析发现从最初的放射治疗和再程放射之间所经过的时间与脑放射性坏死的发生率无相关性。脑部受照剂量的体积以立方厘米为单位,据报道,放射治疗剂量范围为44.5-87.8 Gy,有统计意义上的发生脑放射性坏死的显著性。
以前新辅助治疗的附加效果也应予以考虑。单独接受立体定向放射外科治疗的患者有11%的脑放射性坏死发生率相比,立体定向放射外科治疗时同时使用BRAF(苏氨酸蛋白激酶)抑制剂(BRAFi)的患者的脑放射性坏死发生率为22%。在黑色素瘤患者的脑转移瘤接受免疫检查点抑制剂(ICPI)和立体定向放射外科(SRS)治疗的研究中也发现,与只接受立体定向放射外科治疗的患者相比脑放射性坏死的发生率较高,总体生存期较长。另一项研究发现,接受伽玛刀放射外科治疗的患者中,接受免疫检查点抑制剂(ICPI)治疗的患者相比接受化疗和靶向治疗的患者,脑放射性坏死放射率较高。与报道的化疗时代的脑放射性坏死的发生率相比,随着使用免疫疗法和其他靶向治疗的增加,脑放射性坏死的发生率也会发生变化。我们最近证明伽玛刀立体定向放射外科联合贝伐单抗治疗局部复发的多形性胶质母细胞瘤(GNM)的安全性;在我们的45例病人的样本中,中位边缘剂量为17.0Gy(范围13-24 Gy),靶体积为2.2 cm3(范围0.1-25.2 cm3),没有与放射相关的副反应的发生。然而,还需要进一步的研究来评估伽玛刀放射外科联合贝伐单抗治疗复发多形性胶质母细胞瘤(GBM)的安全性。
肿瘤相关危险因素
发生脑放射性坏死的风险因肿瘤位置、组织学和基因型等情况而异。对5747处病变的分析中,根据放射影像学证据,15%属于脑放射性坏死,揭示出在脑放射性坏死与肾和非小细胞肺腺癌的转移性病变之间有统计学显著意义的相关关系。HER2扩增,BRAF V600+突变状态和ALK重排都显现出与脑放射性坏死有统计学上的显著意义。这项研究代表了第一个关于肿瘤生物学与脑放射性坏死两者之间有联系的证据,而且具有潜在的临床意义。尽管如此,在遗传基础上的体内研究中,脑放射性坏死较为少见。
O6 -甲基鸟嘌呤- DNA甲基转移酶(MGMT)是将烷基组从鸟嘌呤O6位置上除去的酶,且抑制细胞凋亡。MGMT启动子序列的甲基化抑制了其表达,最终导致细胞死亡。而MGMT启动子甲基化和异柠檬酸脱氢酶1 (IDH1)发生突变,显示可预测的多形性胶质母细胞瘤(GBM)患者的假性进展(PsP),在脑放射性坏死的发生中的这些作用以及其他肿瘤相关因素尚未得到彻底评估。
个人风险因素
在放射敏感性方面,患者之间存在显著的差异。支持放射毒性的遗传基础的初步证据源于对乳腺癌患者的研究,研究中占约90%的发生放射性毛细血管扩张症变异被认为潜在的基因差异所造成的。也已有报道,有增强的染色体放射敏感性的乳腺癌患者的亲属,与没有表达放射敏感性增强的的患者亲属相比,有更高的放射敏感性。共济失调毛细血管扩张症患者,Fanconi贫血和Bloom综合征,都是可遗传的DNA损伤的监测和修复基因,都具有较高的放射敏感性。导致这些疾病的各种各样的基因异常提示,放射敏感性是一种涉及多种途径的多基因特性,其中一些途径是可遗传的。识别遗传基础的多种方法已被采用,范围从候选基因方法对SNPs(甲核苷酸多态性)进行识别,所有的SNPs都进行拼图碎片式的识别,但未能创建处一个可能与放射敏感性和放射损伤有关的架构。近年来,一种更广泛的全基因组方法被用于确定SNP,该SNP的映射以确定SNP网络与如放射性损伤等表型之间的关系。
最近一项全基因组关联研究发现在使用X射线和H2O2处理的胶质母细胞瘤细胞系(U87)中有不同程度的颞叶脑放射性坏死风险的伴不同的单核苷酸多态性(SNPs)。最显著的风险是SNPs影响维持正常功能的纤毛,以及可能发挥对辐射损伤的保护作用的CEP128。诱导CEP128启动子中A>G的改变,产生一个变异(rs17111237),损害其启动子活性,导致CEP128被击倒。这造成更高的U87细胞系的细胞凋亡和细胞死亡,并与颞叶辐射损伤风险相关(危险比= 1.45,范围1.26 - -1.66)。这是第一个涉及辐射损伤易感性基因(Cep128)的研究,提供了关于辐射诱导脑损伤的潜在机制研究尚未新的见解。