华山·金垂体之临床故事 | 第三期:浴血手术背后的故事
华山·金垂体团队
2019-11-26 839



浴血奋战



“肿瘤血供太丰富!输血快跟上!

“术中出血太多,手术不能停,赶快填好用血单送过来!


这惊险的一幕不是发生在影视剧里,而是真实地在华山医院虹桥院区手术室上演。


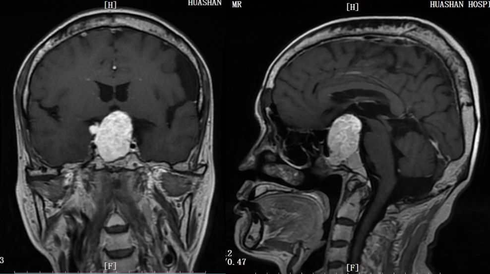
患者老王今年50岁,来自河南。2013年起老王出现消瘦,并有心慌、怕热、手抖,然而这没有引起他的重视。随着症状加重,三年之后。老王在当地医院查出有心房颤动,是一种心律失常,可是治疗后心脏不适没有明显改善。直到2019年5月,老王不幸遇到车祸,到医院做头颅CT和磁共振,居然发现有个巨大的垂体瘤,并且是一种罕见的分泌促甲状腺激素的腺瘤,正是因为这个肿瘤导致老王出现了心脏疾病。由于垂体促甲状腺激素腺瘤在临床上极少见,常引起误诊、漏诊,延误了治疗时机。



老王随后慕名求诊于华山医院神经外科王镛斐教授。考虑到患者病情较重、病程漫长,需进行充分的术前评估与准备,王教授立即联系了华山垂体融合病房的内分泌科,内分泌通过功能性垂体瘤诊疗绿色通道迅速安排患者入院评估。老王于2019年6月收入内分泌科,经一系列详细检查,明确是垂体促甲状腺激素腺瘤。由于肿瘤巨大,已明显压迫视神经,导致视力下降和视野缺损,应尽快接受手术治疗。内分泌科张朝云教授与王镛斐教授进行了第一次病例讨论,考虑到患者甲亢没有得到控制,甲状腺激素水平很高,此时手术风险大,很容易导致甲状腺危象的发生,而甲状腺危象的死亡率高达20%以上。内外科讨论后决定了治疗方案:先由内分泌科尽快控制甲亢,然后予以手术切除肿瘤。


在内分泌科李益明主任带领下,神经内分泌亚专业组的张朝云教授、叶红英教授、何敏主治医生经充分讨论,给老王制定了目前国际上最有效的术前治疗方案,该方案主要包括使用生长激素类似物——醋酸奥曲肽3个月,每月一次,密切随访甲状腺功能,待甲状腺激素恢复正常后转至神经外科手术。老王于2019年7月完成了第一次奥曲肽治疗,患者、家属及医生都静待病情好转,然而,让大家都万万没有想到的是,迎接他的却是一个又一个难关。



难关1
严重腹泻



自7月初注射了奥曲肽之后,老王出现了腹痛、腹泻,每天大便3-4次,体重也进一步下降了5斤;8月初老王再次入院完成了第二次奥曲肽注射,用药后腹泻进一步加重,每天只能靠药物才能止泻。无奈之下,老王求助了华山垂体瘤多学科团队。多学科团队再次安排老王入院,进行药物治疗后评估。



难关2
药物无效



老王于2019年9月初收入华山垂体融合病房,入院后检查发现其甲状腺激素居然无明显下降。而无论国际上的报道还是华山垂体瘤团队既往的治疗经验,奥曲肽几乎对所有的促甲状腺激素腺瘤疗效极佳,通常注射后甲状腺激素几天内会快速下降。老王属于极其罕见对该药不敏感的病例。在此情况下,张朝云主任尝试改用短效奥曲肽联合溴隐亭治疗。经过10天的治疗,老王的甲状腺激素仅轻度下降,仍无法达到正常。



难关3
白细胞减少



此刻,如何控制老王的甲亢成为了治疗焦点和瓶颈。考虑到患者应尽快接受手术治疗,内分泌科给予加用传统的抗甲状腺激素药物甲巯咪唑来迅速降低甲状腺激素。通常情况下,垂体促甲状腺激素腺瘤引起的甲亢,不建议使用甲巯咪唑,因为这种治疗方案可能会导致肿瘤增大。但是,目前情况下,显然没有其他更好选择。内分泌科何敏主治医生与家属充分沟通、并告知其利弊之后,家属表示愿意尝试。然而,意想不到的情况又出现了,老王的白细胞低于正常,以致不能使用甲巯咪唑。在血液科医生会诊建议下,老王接受了骨髓穿刺检查。检查排除造血系统疾病之后,内分泌科医生给予升高白细胞的药物,同时甲巯咪唑治疗甲亢。药物治疗期间,住院医生沈博每天早上到医院的第一件事就是查看老王的白细胞有没有变化,甲状腺激素有没有下降,还在病史里细心地绘制了检查结果图表,让团队医生们一目了然地看清楚治疗变化趋势。然而不幸的是,尽管加用了甲巯咪唑,老王的甲状腺功能亢进依然没有明显好转。



难关4
心率减慢



令老王和医生们更担心的事情又出现了,药物无效的同时,其不良反应却接踵而至。由于长期高甲状腺激素的作用,老王出现了甲亢性心脏病:心房增大,持续性房颤,而在使用奥曲肽之后平均心率由73次/分下降到58次/分,最慢32次/分,还出现了几百次大于2秒的停搏。心动过缓是奥曲肽少见的不良反应之一,却又发生在了老王的身上。经讨论,医生们立即停用奥曲肽、溴隐亭,并进行心电监护,同时请心内科会诊,必要时植入心脏起搏器。


一方面亟需药物控制甲状腺激素尽快手术,另一方面药物引起的严重不良反应而必须停药,老王的治疗陷入了两难的境地。老王在病房里连续度过了中秋和国庆,看着日渐憔悴的老王,垂体融合病房的每位成员都在积极寻求解决方案:何敏俞一飞医生把老王的病例连夜整理翻译成英文,张朝云教授联系了麻省总医院神经内分泌中心的同行寻求帮助;内分泌科李益明主任再次组织了多学科的病例讨论。国内外同行表示该病例罕见性的同时,也提出了降低甲状腺激素的各种备选方案,比如同位素131I治疗和血浆置换,但缺乏可行性。李益明主任建议和患者、神经外科、麻醉科、心内科充分沟通,尽早手术治疗肿瘤,但必须做好万全准备,预防甲状腺危象发生。


让所有医护人员感动的是,患者及其家属在整个就诊过程中,始终表现了对医生的充分信任,无论是药物疗效差,还是各种副作用,每次医生与他们谈话沟通,最后他们总是说:“我们来到华山,就是信任你们,你们总归是为了病人好,我们都听你们的,你们愿意为病人冒风险,我们愿意承担后果!


沟通、理解、信任和支持,这些足以让医者全力以赴!王镛斐教授和内分泌科、麻醉科、心内科沟通后决定冒险手术。10月23日9:00老王进入手术室,10:00正式手术,王镛斐教授和寿雪飞教授顺利完成手术,15:30安返病房,整个手术历时近5小时。手术当日,心内科陈奇英医生为老王植入了临时起搏器保驾护航;内分泌科医生待命,一旦甲亢危象出现随时进入手术室参与抢救;麻醉科车薛华教授亲自上阵密切监护;由于肿瘤质地韧,血供更是异常丰富,出血量超出预期,术中出血达4000ml。输血科夏荣教授积极协调用血,输少浆血1600ml,新鲜冰冻血浆150ml。五个多小时的手术,牵动的不仅仅是患者家属的心,也让融合病房的每一位医生心弦紧绷。当听到患者手术顺利结束的一刹那,所有医护人员才如释重负。老王术后恢复良好,甲状腺功能迅速恢复正常,术后1周顺利出院。



手术后,王镛斐教授回想文章开头的那一幕,说,这是他经历的最艰难的手术之一,整个过程惊心动魄:肿瘤血供非常丰富,加之肿瘤质地坚韧,手术野满是肿瘤渗血,很难辨清肿瘤和正常结构之间的界面,需要极大的耐心仔细切除肿瘤,手术难度不言而喻,全切肿瘤完全靠手术经验和坚定的信心。

回顾老王的诊治过程,其治疗的成功,既需要垂体融合病房的多个学科的共同参与、相互支撑,也离不开患者与家属的信任与配合。一如张朝云教授在其微信朋友圈中所言:“我们也感谢这位患者,给了我们学习和提高的机会、积累了经验,可以帮助更多患者!”良好的医患关系,是推动医学进步的重要力量。作为全球首创的垂体融合病房,瞄向的永远是更好的治疗垂体疾病。正如垂体病房创始人赵曜教授所说:金垂体的金光,就应该闪耀于这样复杂疑难病的诊治上!





华山·金垂体团队系列专家介绍(三)


王镛斐,主任医师、硕士生导师。中国医师协会神经内镜专委会副主任委员,中国垂体瘤协作组副组长,上海抗癌协会神经肿瘤专业委员会常委,上海市医师协会神经外科医师分会秘书,中国医师协会内镜医师分会委员,上海市垂体瘤研究中心秘书兼内镜组组长,中国神经科学学会神经肿瘤分会委员,中国医疗保健国际交流促进会颅底外科分会和神经外科分会委员。

 

目前担任国家级继续教育项目“全国脑窥镜辅助显微外科学习班”和“中国垂体瘤诊治新进展学习班”主要负责人。每年开展垂体瘤等神经内镜手术达600余台次。

 

参与了《全国垂体瘤显微外科手术学习班》、《神经外科新技术、新进展学习班》、《全国颅底外科学习班》和《神经外科手术护理学习班》等国家级继续教育项目的授课工作。发表论著和参与著作编写三十余篇(部)。

 

2004年上海市医学科技进步一等奖

2004年中华医学科技奖三等奖

2009年国家科学技术进步奖一等奖

 

擅长领域:垂体腺瘤的显微外科手术基础和临床研究、神经内镜应用的解剖与临床研究、神经肿瘤的微创手术治疗。

 

门诊

复旦大学附属华山医院

周二上午(特需)、周四上午(MDT)

复旦大学附属华山医院(西院区)

周四下午(专家)